Radiology
X-ray diagnostics
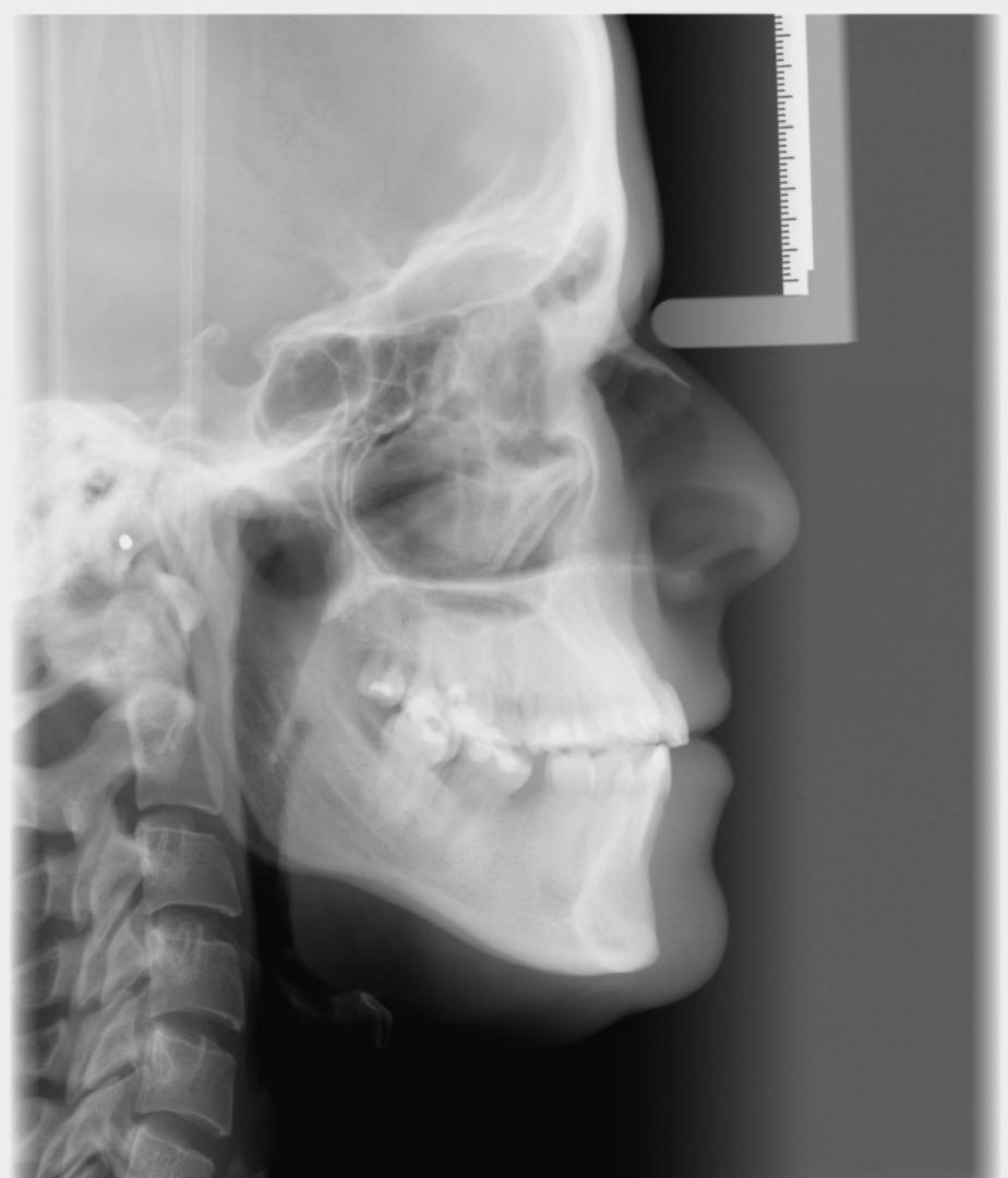
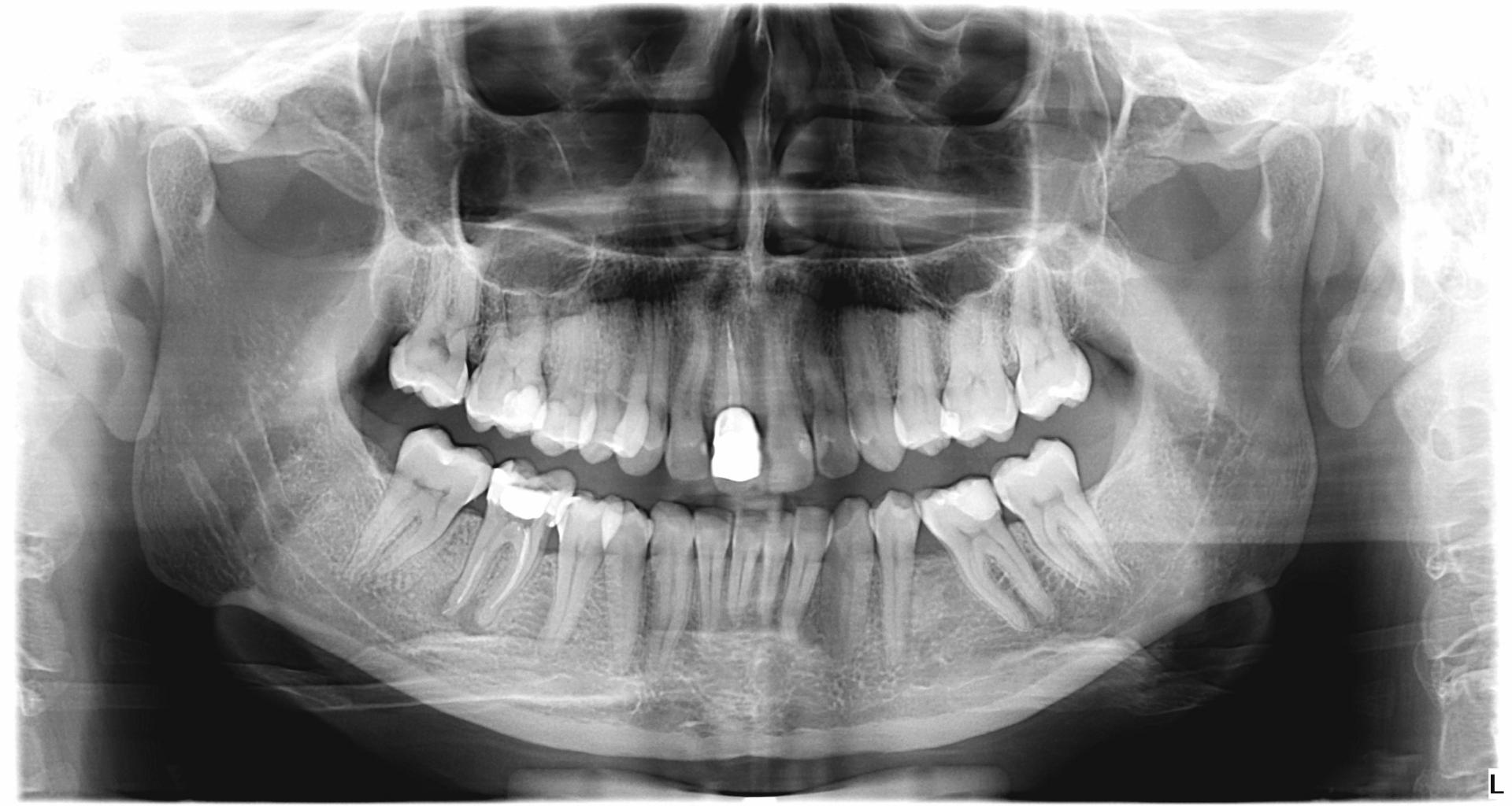
In our office, we take pictures of teeth using the digital radiography technique. This type of device gives an image on the monitor screen just a few seconds after its execution. The radiation dose is several times lower than in traditional analog X-ray machines, making the examination much safer.
Types of photos taken:
- Panoramic photo
- Cephalometric image

- Spot image of a tooth