Радіологія
рентгенодіагностика
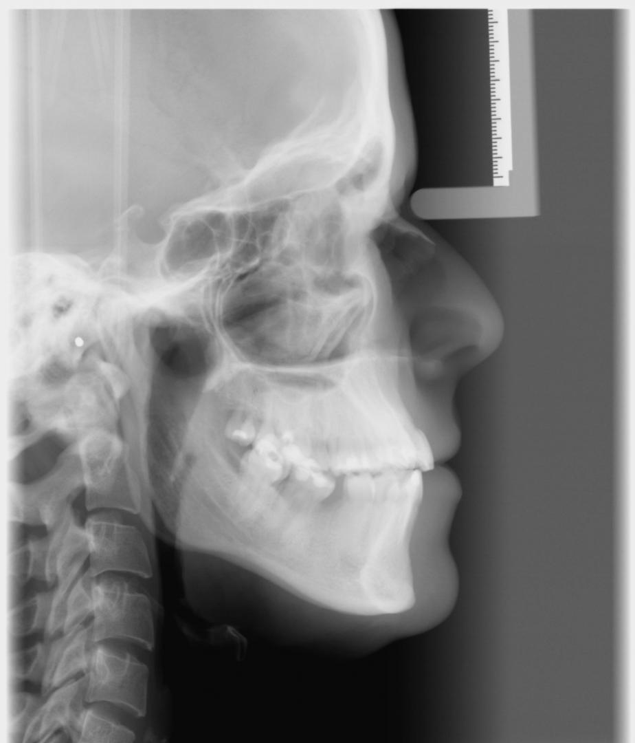
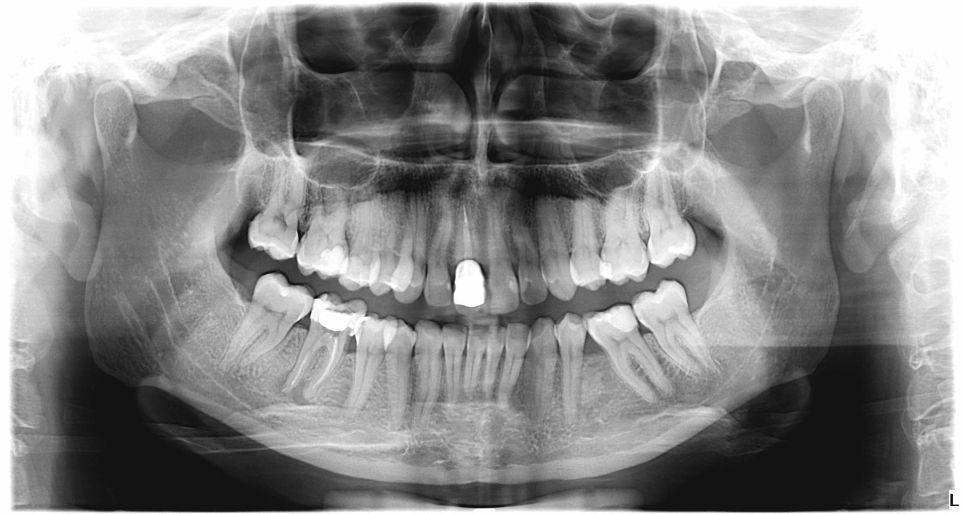
У нашому кабінеті ми знімаємо зуби за допомогою цифрової рентгенографії. Даний тип пристрою видає зображення на екрані монітора вже через кілька секунд після його виконання. Доза опромінення в кілька разів нижча, ніж у традиційних аналогових рентгенівських апаратах, що робить обстеження набагато безпечнішим.
Види зроблених фотографій:
- Панорамне фото
- Кефалометричне зображення

- Точкове зображення зуба